Implant Dentistry

Implants are more than just the best way to replace teeth.  Nothing looks, feels, or functions more like your natural teeth, and they have the best long-term success of any dental treatment.

They're ideal for replacing anywhere from one tooth to a full mouth, and depending on exactly what you want, there are great solutions for all budgets:

Replacing a Single Tooth: More than half of all Americans are missing at least one tooth.  One in ten has no teeth at all. Missing teeth may not seem like a big deal, but they cause teeth around them to move, reduce your ability to chew, and can cause bone loss and harmful chewing patterns that endanger other teeth or the health of your jaw joints (TMJ)

Implants look and feel better than any other method of replacing teeth.  They are the strongest, most secure, and most customizable way to support a restoration.  Their success rate and lifespan are better than any other procedure in dentistry.  

In our office, we maximize the results of implant treatment using state-of-the-art technology to take a 3D x-ray and plan the exact placement of the implant to within a millimeter!


Replacing Multiple Teeth: In cases where multiple teeth have been lost, implants are an ideal way to replace teeth without the drawbacks of traditional bridges or partial dentures. In cases where multiple teeth have been lost, implants are an ideal way to replace teeth without the drawbacks of traditional bridges or partial dentures. In cases where multiple teeth have been lost, implants are an ideal way to replace teeth without the drawbacks of traditional bridges or partial dentures.

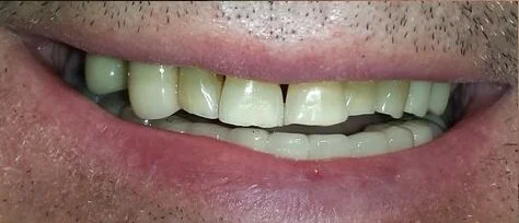
By replacing the teeth with a porcelain covered esthetic bridge, the patient was able to smile again.  This photo from the patient's next checkup appointment shows why implants can be better than the real thing: porcelain doesn't stain or decay.  That's a major advantage when patients are at severe risk for future cavities.

Four Implants in position to replace the missing front six teeth

The natural teeth stained and decayed, but the implant bridge looks as good as when it was placed.


Lower Denture Replacement with Implant Crowns: With implants, we stabilize dentures so you can eat the foods you love again, or we can even replace your denture completely with permanent teeth that you never take out.  Many of our implant patients come to us because they hate their dentures.  Even the best made denture can be unstable or loose in certain cases.  

In this case, this patient was fed up with his lower partial denture.  Because he had few natural teeth to rest it on, his partial moved when he chewed, causing pain and damaging the few remaining teeth until another dentist told him the only option left was a complete denture. We saved those remaining teeth, and with eight implants and a porcelain-covered bridge, this patient was able to throw his denture away forever!

The finished implant bridge with the previous crowns on natural teeth behind.

This patient is currently undergoing treatment to restore and align his natural upper teeth also, but he is smiling with confidence now that he doesn't have to worry about his old, loose lower partial denture with metal hooks. 


Implant Stabilized Dentures: There's no need to put up any longer with a loose, painful, or unstable denture.  Every day, we renovate patients' problem dentures, whether it's improving the fit, correcting the bite, or designing a better, brighter smile. Studies show that as many as half of all denture patients suffer with dentures that don't fit or function right.

We recommend implants to all of our denture patients.  Every patient that goes from complete dentures to implant dentures can't believe the amazing improvement in fit, stability, and ability to chew like they used to. With just two to four implants, we can secure your denture so that you can eat foods like steak, fresh apples, and corn on the cob again.  With implants, upper dentures can be made with the roof of the mouth uncovered, so that you can better feel and taste your food like you used to.

Best of all, once your denture has been implant stabilized, it can always be upgraded.  By adding another few implants over time, you can get rid of your dentures completely, and have fixed, permanent bridges directly on implants that will look, feel, and function like your own, natural teeth.

 If you can't wait to look and feel better Call us today at (718) 268-1561, or request a consultation.